- Trang chủ
- Thông tin
- Chẩn đoán và điều trị theo y học hiện đại
- Đau bụng cấp: đánh giá khẩn cấp tình trạng nặng của bệnh nhân
Đau bụng cấp: đánh giá khẩn cấp tình trạng nặng của bệnh nhân
Hãy nhớ rằng những bệnh nhân trẻ, khỏe mạnh thường duy trì huyết áp trong trường hợp mất nhiều dịch, với những bệnh nhân này giảm huyết áp xảy ra muộn, nên phải xem xét cẩn thận những yếu tố như tăng nhịp tim, hạ huyết áp tư thế.
Biên tập viên: Trần Tiến Phong
Đánh giá: Trần Trà My, Trần Phương Phương
Bằng chứng của sốc
Nhận diện nhanh chóng những bệnh nhân sốc với hạ huyết áp và bằng chứng của giảm tưới máu mô.
Hãy nhớ rằng những bệnh nhân trẻ, khỏe mạnh thường duy trì huyết áp trong trường hợp mất nhiều dịch, với những bệnh nhân này giảm huyết áp xảy ra muộn, nên phải xem xét cẩn thận những yếu tố như tăng nhịp tim, tăng nhịp thở, giảm chênh áp, lo lắng, vã mồ hôi lạnh, xanh tím, choáng váng nhẹ khi đứng ± hạ huyết áp tư thế.
Nếu bệnh nhân có sốc rõ ràng hoặc mới khởi phát, đảm bảo hai đường truyền tĩnh mạch lớn, truyền máu có thử phản ứng chéo, ure + điện giải đồ, công thức máu, amylase và xét nghiệm chức năng gan; và bắt đầu hồi sức tích cực.
Những chẩn đoán quan tâm đầu tiên là vỡ phình động mạch chủ bụng, thai ngoài tử cung hoặc các tạng khác, bởi vì những nguyên nhân này đòi hỏi can thiệp phẫu thuật ngay lập tức..
Nghi ngờ vỡ phình động mạch chủ bụng ở bất kỳ bệnh nhân nào có phình động mạch chủ bụng đã biết, một khối ở bụng đập theo mạch hoặc những yếu tố nguy cơ như nam > 60 tuổi, có đau bụng/ lưng dữ dội, khởi phát đột ngột sau đó rối loạn huyết động nhanh chóng.
Nghi ngờ vỡ thai ngoài tử cung ở bất kì thai phụ nào hoặc phụ nữ trong tuổi sinh sản với đau bụng dưới mới khởi phát hoặc chảy máu âm đạo; cần thực hiện xét nghiệm thử thai tại giường ngay lập tức.
Nghĩ đến vỡ lách ở bất kỳ bệnh nhân nào sốc kèm đau bụng mà có tiền sử chấn thương gần đây như tai nạn giao thông.
Nếu nghi ngờ bất kỳ chẩn đoán nào trên đây, sắp xếp hội chẩn ngoại ngay lập tức trước khi chẩn đoán hình ảnh.
Nếu không có những tình trạng này, thực hiện ECG, Xquang ngực, xét ngiệm nước tiểu, khí máu động mạch, tiếp tục đánh giá nguyên nhân được liệt kê dưới đây và hội chẩn ngoại. Những chẩn đoán quan trọng khác cần quan tâm:
Thủng tạng rỗng.
Nhồi máu mạc treo.
Những tình trạng viêm cấp như viêm tụy cấp, viêm đại tràng, viêm đường mật.
Những tình trạng nội khoa như toan ceton đái tháo đường, nhồi máu cơ tim, cơn cường thượng thận cấp, viêm phổi.
Bất kỳ tình trạng liên quan với nôn lặp lại như tắc ruột, viêm dạ dày ruột.
Viêm phúc mạc toàn thể
Viêm phúc mạc toàn thể thỉnh thoảng do viêm tụy cấp nhưng thường là biểu hiện của thủng tạng rỗng như dạ dày, tá tràng. Nghi ngờ chẩn đoán này nếu có đau bụng dữ dội không thành cơn mà tăng lên khi di chuyển, ho, thở sâu và liên quan với những yếu tố viêm và gồng cứng thành bụng lan tỏa.
Bệnh nhân thường nằm, thở nông và khó chịu rõ ràng. Xem xét lại chẩn đoán nếu bệnh nhân khỏe và di chuyển bình thường.
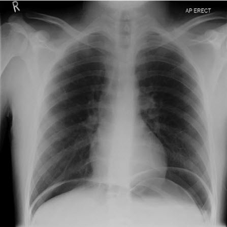
Bệnh nhân cần hồi sức tích cực, kháng sinh và chuyển phẫu thuật ngay lập tức. Khí tự do dưới cơ hoành trên Xquang ngực thẳng (có mặt ở 50- 70% trường hợp) sẽ xác nhận chẩn đoán; nếu Xquang ngực không chẩn đoán được, xem xét CT có thuốc cản quang. Amylase huyết tương có thể giúp phân biệt thủng tạng với viêm tụy cấp. Cần nghi ngờ cao ở những bệnh nhân lớn tuổi và dùng steroid toàn thân; những triệu chứng thường khó phát hiện nên cần đánh giá lại thường xuyên.

Hình. Khí tự do dưới cơ hoành
Những biểu hiện của tắc ruột
Nghi ngờ tắc ruột nếu đau bụng quặn từng cơn kết hợp nôn, bí đại tiện và/hoặc chướng bụng. Những triệu chứng nổi bật sẽ thay đổi dựa trên vị trí tắc nghẽn, nếu tắc ruột non cao thì nôn và đau bụng là ưu thế, ngược lại, nếu tắc đại tràng thấp thì táo bón và chướng bụng biểu hiện rõ hơn. Nếu có bất kỳ biểu hiện nào kể trên, chụp xquang bụng để giúp xác định chẩn đoán và ước tính vị trí tắc Kiểm tra xem có thoát vị nghẹt không ở bất kì bệnh nhân nào nghi ngờ tắc ruột non. Xem xét các chẩn đoán hình ảnh bổ sung và thăm trực tràng để xác định tắc ruột và phân biệt với tắc nghẽn giả (pseudo-obstruction) ở bệnh nhân tắc ruột già.

Hình. Tắc ruột. A. Ruột non. B. Ruột già
Những bệnh nhân có thể mất nước nặng - kiểm tra Urea và điển giải, bồi phụ thể tích đầy đủ, đặt sonde dạ dày lớn qua đường mũi và xem xét đặt sonde tiểu. Chuyển khoa ngoại để đánh giá bổ sung và xử trí.
Tiêu chảy cấp và/hoặc phân máu
Tiêu chảy chảy cấp mới khởi phát với đau bụng quặn ± nôn gợi ý viêm dạ dày ruột nhiễm trùng. Nghi ngờ viêm đại tràng (do nhiễm trùng, viêm hoặc thiếu máu cục bộ) nếu bệnh nhân có tiêu chảy phân máu kèm đau quặn bụng ± mót rặn và những biểu hiện viêm hệ thống. Luôn luôn xem xét viêm đại tràng thiếu máu cục bộ nếu bệnh nhân lớn tuổi hoặc bệnh lý mạch máu hoặc rung nhĩ đã biết; nếu nghi ngờ viêm đại tràng thiếu máu cục bộ nên cho chụp mạch mạc treo trên CT.
Đau thắt lưng hoặc đau mạn sườn một bên
Nghi ngờ tắc nghẽn đường niệu (thường do sỏi) nếu có đau thắt lưng dữ dội, quặn từng cơn mà lan tới bẹn ± bìu/môi lớn. Ngược lại với viêm phúc mạc, tắc nghẽn đường niệu làm bệnh nhân bồn chồn và không thể tiếp tục nằm yên. Tiểu máu đại thể hoặc phát hiện qua que thử xuất hiện ở 90% bệnh nhân và nôn là triệu chứng phổ biến trong cơn đau.
Loại trừ phình động mạch chủ bụng nếu bệnh nhân có nguy cơ cao như nam lớn tuổi kèm bệnh lý mạch máu, hoặc biểu hiện không điển hình như không có tiểu máu/bồn chồn/đau lan tới bẹn; yêu cầu siêu âm khẩn cấp, và nếu xác nhận có phình động mạch chủ bụng, sắp xếp đánh giá phẫu thuật ngay lập tức. Ngược lại cho CT bụng (hoặc niệu đồ tĩnh mạch nếu CT không có sẵn) để xác nhận sự tồn tài của sỏi.
Ở bệnh nhân đã xác nhận có sỏi, kiểm tra chức năng thận, tìm kiếm những biểu hiện nhiễm trùng đường niệu trên dẫn đến tắc nghẽn như tthân nhiệt/bạch cầu/CRP hoặc bạch cầu/nitrit. Nếu nghi ngờ nhiễm trùng đường niệu trên, nên cấy máu và nước tiểu, cho kháng sinh tiêm tĩnh mạch và chuyển nhanh đến khoa tiết niệu.
Nghi ngờ viêm thận bể thận nếu đau thắt lưng liên tục kèm những biểu hiện viêm, có bạch cầu, nitrit trong nước tiểu, hoặc tăng cảm giác đau ở thắt lưng/ hố thận ± triệu chứng của đường tiểu dưới. Xem xét các chẩn đoán khác như viêm túi mật cấp, viêm ruột thừa nếu có tăng cảm giác đau ở bụng nổi bật/đề kháng thành bụng hoặc nếu phân tích nước tiểu cho kết quả bạch cầu và nitrit đều âm tính. Cấy máu và nước tiểu,bắt đầu kháng sinh tĩnh mạch và nhanh chóng siêu âm để loại trừ dịch quanh thận hoặc tắc nghẽn đường niệu
Đau khu trú bụng trên hay bụng dưới
Sự khu trú của đau bụng rất hữu ích trong thu hẹp chẩn đoán phân biệt.
Nếu bệnh nhân có đau bụng trội ở một phần tư trên bên phải, bên trái, thượng vị hoặc đau toàn bộ bụng trên, gây ra đau bụng trên cấp tính.
Nếu bệnh nhân đau bụng một phần tư dưới trái, phải, trên mu hoặc đau bụng dưới hai bên, gây ra đau bụng dưới cấp.
Xem xét những nguyên nhân khác, ± hội chẩn ngoại hoặc chẩn đoán hình ảnh bổ sung nếu có bất kỳ lo ngại nào
Cho CT mạch máu để tìm kiếm các biểu hiện của nhồi máu mạc treo ở bất kì bệnh nhân nào có đau dữ dội, lan tỏa, sốc hoặc toan lactic không giải thích được - đặc biệt nếu bệnh nhân lớn tuổi hoặc có bệnh lý mạch máu/rung nhĩ. Khám bụng có thể không có gì nổi bật cho đến giai đoạn tiến triển.
Xem xét các biểu hiện không điển hình của các rối loạn thường gặp như viêm tụy cấp hoặc bệnh viêm ruột. Ruột thừa sau manh tràng có thể biểu hiện đau thắt lưng trong khi bất kỳ đoạn ruột nào cũng có thể phát triển khối viêm trong bệnh Crohn.
Cả viêm dạ dày ruột và tăng calci máu đều có thể gây ra cảm giác khó chịu ở bụng với nôn và triệu chứng thực thể nghèo nàn - định lượng calci huyết tương và hỏi thêm về việc tiếp xúc với nguồn nhiễm và những thức ăn đáng ngờ gần đây.
Những rối loạn chức năng như hội chứng ruột kích thích là một nguyên nhân thường gặp của đau bụng. Chẩn đoán hội chứng ruột kích thích, cần hỏi về đau bụng kéo dài từng cơn kèm thay đổi thói quen đại tiện và xem xét những lần nhập viện tương tự trước đây.
Một quá trình quan sát với đánh giá lâm sàng nhiều lần thường quan trọng cho chẩn đoán; ví dụ như đau bụng giữa không đặc hiệu, khi khám lại, đã di chuyển đến hố chậu phải, gợi ý chẩn đoán ruột thừa cấp. Những bệnh nhân khỏe mạnh và đau bụng dường như đã được giải quyết thường có thể xuất viện an toàn và chỉ cần theo dõi ngoại trú. Những người suy sụp đáng kể hoặc biểu hiện khác gây ra lo ngại về nguyên nhân không rõ ràng yêu cầu xét ngiệm ± đánh giá của khoa ngoại.
Bài viết cùng chuyên mục
Dáng đi bất thường: phân tích triệu chứng bệnh lý
Sự tầm soát dáng đi nhạy cho việc phát hiện những bất thường về thần kinh vận động, cảm giác và hệ cơ xương ở chi dưới bởi vì bước đi là một hoạt động phối hợp phức tạp so với các test chức năng thần kinh.
Định hướng chẩn đoán chảy máu trực tràng
Phần lớn bệnh nhân xuất huyết đường tiêu hóa dưới là lành tính, bệnh nhân xuất huyết trực tràng cấp tính, đánh giá mức độ xuất huyết và tiến hành đầy đủ các bước cấp cứu trước khi chẩn đoán chính xác.
Đau đầu: chọc dịch não tủy và phân tích dịch não tủy đánh giá
Viêm màng nào do vi khuẩn sớm có thể nhầm lẫn với viêm màng não do virus bởi tăng bạch cầu lympho là chủ yếu trong dịch não tủy. Nếu có bất kỳ khả năng nào của viêm màng não do vi khuẩn, điều trị kháng sinh trong lúc đợi xét nghiệm bổ sung.
Đau ngực cấp: phân tích đặc điểm điện tâm đồ và các triệu chứng lâm sàng
Nếu có ST chênh lên nhưng không phù hợp những tiêu chuẩn, làm lại điện tâm đồ thường xuyên và xử trí như bệnh nhân nhồi máu cơ tim không ST chênh lên/ đau thắt ngực không ổn định.
Loãng xương: phân tích triệu chứng
Sự mất cân bằng hoạt động của nguyên bào xương và nguyên bào xương có thể do một số tình trạng liên quan đến tuổi tác và bệnh tật gây ra, thường được phân loại là loãng xương nguyên phát và thứ phát.
Mất thị lực: phân tích triệu chứng
Mất thị lực có thể đột ngột hoặc dần dần, một mắt hoặc hai mắt, một phần hoặc toàn bộ và có thể là một triệu chứng đơn độc hoặc một phần của hội chứng phức tạp.
Nhìn đôi: phân tích triệu chứng
Nhìn đôi xảy ra khi cảnh trước mắt dưới dạng hai hình ảnh khác nhau, quá trình lập bản đồ bình thường không thể xảy ra và bộ não cảm nhận được hai hình ảnh chồng lên nhau.
Tiết dịch núm vú ở phụ nữ không mang thai: phân tích triệu chứng
Nguyên nhân phổ biến gây tiết dịch núm vú sinh lý bao gồm căng thẳng, kích thích núm vú, cũng như chấn thương hoặc tổn thương ở ngực như herpes zoster, có thể làm tăng nồng độ prolactin tuần hoàn.
Đau đầu: đánh giá triệu chứng lâm sàng biểu hiện màng não
Nhận diện bệnh nhân viêm màng não do vi khuẩn là ưu tiên hàng đầu cho phép điều trị kháng sinh nhanh chóng để cứu sống bệnh nhân. Bệnh nhân có thể thiếu các biểu hiện kinh điển nhưng hầu hết các trường hợp sẽ có ít nhất một biểu hiện.
Đau thắt ngực: các bước đánh giá thêm nếu nghi ngờ
Mức độ đau thắt ngực không dựa trên mức đau mà dựa trên tần số triệu chứng, giới hạn khả năng gắng sức hoạt động chức năng. Bởi vì những thông tin này sẽ hướng dẫn điều trị và theo dõi đáp ứng, đánh giá triệu chứng chính xác.
Chuẩn bị cho việc khám lâm sàng
Việc khám sức khỏe thường bắt đầu sau khi bệnh sử đã được khai thác. Nên có một hộp đựng di động được thiết kế để chứa tất cả các thiết bị cần thiết.
Chóng mặt và choáng váng: phân tích các đặc điểm lâm sàng
Muốn xỉu ở bệnh nhân miêu tả cảm giác váng đầu như thể là tôi sắp xỉu mất hoặc cảm giác tương tự cảm giác sau khi đứng dậy nhanh đột ngột. Nếu có bất kỳ cơn nào kèm theo tối sầm thì đánh giá thêm mất ý thức thoáng qua.
Phòng ngừa khi dùng thuốc ở người cao tuổi
Bệnh nhân, hoặc người chăm sóc, mang tất cả thuốc men, mỗi khi khám lại, có thể giúp các nhà cung cấp sức khỏe củng cố lý do cho sử dụng thuốc
Phết tế bào cổ tử cung bất thường: phân tích triệu chứng
Hầu hết bệnh nhân mắc chứng loạn sản cổ tử cung đều không có triệu chứng. Cũng có thể xuất hiện bằng chứng khi xem bên ngoài bao cao su, tiết dịch âm đạo hoặc thậm chí chảy máu âm đạo.
Chứng khó nuốt: phân tích triệu chứng
Rối loạn chuyển thức ăn qua cơ vòng thực quản trên gây các triệu chứng ở hầu họng, và rối loạn nhu động hoặc cản trở dòng thức ăn qua thực quản gây khó nuốt ở thực quản.
Đau ngực từng cơn: những lưu ý lâm sàng trong chẩn đoán
Phải loại trừ thuyên tắc phổi ở bất kỳ bệnh nhân nào có đau kiểu màng phổi cấp tính và không có nguyên nhân nào khác rõ ràng. D-dimer âm tính cùng Wells score < 4 (đủ khả năng loại trừ chẩn đoán này).
Tiếp cận bệnh nhân, Tuân thủ điều trị
Phỏng vấn thu thập thông tin hỗ trợ chẩn đoán, hướng dẫn tuân thủ điều trị thuốc, hướng dẫn chế độ sinh hoạt của bệnh nhân và nguyên tắc đạo đức giữa bác sỹ và bệnh nhân
Phì đại tuyến giáp (bướu cổ): phân tích triệu chứng
Bất kỳ cản trở quá trình tổng hợp hoặc giải phóng hormone tuyến giáp đều có thể gây ra bướu cổ. Cho đến nay, yếu tố rủi ro quan trọng nhất đối với sự phát triển của bệnh bướu cổ là thiếu i-ốt.
Giảm vận động ở người cao tuổi
Tránh, hạn chế và ngưng các thiết bị xâm lấn, đường tĩnh mạch, ống thông tiểu) có thể làm tăng triển vọng bệnh nhân cao tuổi cho chuyển động sớm
Mất ý thức thoáng qua: phân tích bệnh cảnh lâm sàng
Trước khi cho bệnh nhân xuất viện, thông báo về các quy định luật lái xe và khuyên họ tránh các hoạt động nơi mà mất ý thức thoáng qua có thể gây nguy hiểm như bơi, vận hành máy móc nặng, đi xe đạp.
Tốc độ máu lắng và Protein phản ứng C: phân tích triệu chứng
ESR và CRP hiện là các chỉ số được sử dụng rộng rãi nhất về phản ứng protein giai đoạn cấp tính được sử dụng để phát hiện các bệnh liên quan đến nhiễm trùng cấp tính và mãn tính, viêm nhiễm, chấn thương, phá hủy mô, nhồi máu và ung thư tiên tiến.
Khối u vú: đặc điểm khi thăm khám lâm sàng
Đối với bất kỳ bệnh nhân sau mãn kinh có tổn thương dạng nốt khu trú cần chuyển bệnh nhân làm bộ 3 đánh giá ngay. Đối với bệnh nhân tiền mãn kinh, thăm khám lại sau kỳ kinh tiếp theo và chuyển làm 3 đánh giá nếu vẫn còn những tổn thương dạng nốt khu trú đó.
Mất ý thức thoáng qua: ngất và co giật
Chẩn đoán mất ý thức thoáng qua thường dựa vào sự tái diễn, và sự phân tầng nguy cơ là điều thiết yếu để xác định những người cần phải nhập viện, và những người được lượng giá an toàn như bệnh nhân ngoại trú.
Phosphatase kiềm tăng cao: phân tích triệu chứng
ALP huyết thanh chỉ nên được chỉ định nếu nghi ngờ có bệnh về xương hoặc gan. Kết quả ALP nên được so sánh với phạm vi bình thường phù hợp trên cơ sở tuổi tác và tiền sử lâm sàng.
Trầm cảm: phân tích để chẩn đoán và điều trị
Để được chẩn đoán mắc bệnh trầm cảm, bệnh nhân phải trải qua năm triệu chứng trở lên và phải có tâm trạng chán nản và hoặc giảm hứng thú trong 2 tuần.
