- Trang chủ
- Sách y học
- Triệu chứng học nội khoa
- Thất ngôn Wernicke (thất ngôn tiếp nhận): dấu hiệu triệu chứng và nguyên nhân
Thất ngôn Wernicke (thất ngôn tiếp nhận): dấu hiệu triệu chứng và nguyên nhân
Thất ngôn Wernicke gây nên bởi tổn thương hồi sau trên thùy thái dương của bán cầu ưu thế. Vùng này được cấp máu bởi các nhánh của động mạch não giữa. Nguyên nhân hay gặp nhất là nhồi máu não nhánh dưới động mạch não giữa.
Biên tập viên: Trần Tiến Phong
Đánh giá: Trần Trà My, Trần Phương Phương
Mô tả
Thất ngôn tiếp nhận là một rối loạn liên quan đến hiểu ngôn ngữ. Độ trôi chảy trong lời nói thường không bị ảnh hưởng. Ngôn ngữ của bệnh nhận hoàn toàn vô nghĩa hoặc lạ thường và có thể mắc tật loạn ngôn (hay nói cách khác là sử dụng ngôn từ không phù hợp với ngữ cảnh hoặc tính logic).
Giải phẫu thần kinh và giải phẫu vùng: Vùng Wernicke - hồi sau trên thùy thái dương, bán cầu não ưu thế ⇒ Nhánh dưới động mạch não giữa.
Nguyên nhân
Hay gặp
Nhồi máu động mạch não giữa.
Xuất huyết não.
Sa sút trí tuệ mạch máu.
Migraine (nhất thời).
Ít gặp
Bệnh Alzheimer.
Tổn thương dạng khối (ví dụ: u, khối, thông động tĩnh mạch).
Thất ngôn tiến triển nguyên phát.

Hình. Vùng Wernicke, hồi sau trên thùy thái dương, bán cầu ưu thế. 22 = Vùng Brodmann; 44 = Vùng Brodmann; 45 = Vùng Brodmann.

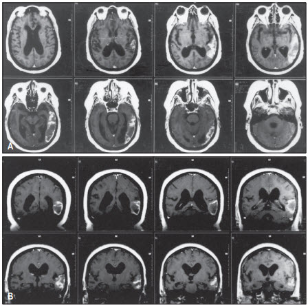
Hình. MRI của bệnh nhân thất ngôn Wernicke gây nên bởi tổn thương thùy thái dương. A, hình ảnh cắt ngang; B, hình ảnh cắt dọc.
Cơ chế
Thất ngôn Wernicke gây nên bởi tổn thương hồi sau trên thùy thái dương của bán cầu ưu thế. Vùng này được cấp máu bởi các nhánh của động mạch não giữa. Nguyên nhân hay gặp nhất là nhồi máu não nhánh dưới động mạch não giữa. Bệnh nhân với tay thuận (trái hoặc phải) sẽ tương ứng với bán cầu não ưu thế, vì vậy có giá trị trong khu trú tổn thương. Các tổn thương rộng hơn có thể ảnh hưởng tới trung tâm vận động và cảm giác và/hoặc đường thị giác, dẫn đến các triệu chứng rối loạn vận động và cảm giác đối bên và bán manh đồng danh đối bên Triệu chứng bán manh đồng danh đối bên là dấu hiệu thường gặp trong thất ngôn Wernicke (thất ngôn tiếp nhận), nơi mà các triệu chứng rối loạn vận động và cảm giác hay gặp hơn thất ngôn Broca (thất ngôn diễn đạt). Tham khảo Bảng các triệu chứng của thất ngôn Wernicke.
|
Đặc điểm lâm sàng |
Các bất thường trong thất ngôn Wernicke |
|
Ngôn ngữ tự động. |
Trôi chảy, cùng lỗi loạn ngôn. Nói ngọng thường không có. |
|
Gọi tên. |
Rối loạn ( thường gọi tên không đúng). |
|
Hiểu. |
Rối loạn. |
|
Nhắc lại. |
Rối loạn. |
|
Đọc. |
Rối loạn khả năng hiểu và đọc to. |
|
Viết. |
Viết tốt, thành từng đoạn. |
|
Các dấu hiệu đi kèm. |
Bán manh đối bên. Các dấu hiệu vận động và cảm giác đối bên ít gặp hơn. |
Bảng. Các đặc điểm lâm sàng thất ngôn Wernicke
Ý nghĩa
Thất ngôn Wernicke hay thất ngôn tiếp nhận là dấu hiệu khu trú ở vỏ não ưu thế. Thất ngôn cấp tính lúc ban đầu có thể xem như dấu hiệu của đột quỵ cho tới khi có bằng chứng khác.
Bài viết cùng chuyên mục
Hạt thấp dưới da: tại sao và cơ chế hình thành
Mô tổn thương lắng đọng các phức hợp miễn dịch ở thành mạch, chúng tác động trực tiếp hoặc gián tiếp hoạt hóa bổ thể kích thích các bạch cầu đơn nhân giải phóng IL-1, TNF, TGF-β, prostagandin và các yếu tố khác.
Vàng da trước gan: dấu hiệu triệu chứng và nguyên nhân
Trong vàng da trước gan, sự phá hủy hồng cầu làm tăng giải phóng hem, sau đó được vận chuyển tới gan để chuyển hóa. Số lượng hem quá tăng, làm cho gan quá tải và không có khả năng liên hợp và bài tiết tất cả bilirubin.
Giảm phản xạ (dấu hiệu Woltman): dấu hiệu triệu chứng và nguyên nhân
Có những báo cáo chung về giá trị của phản xạ (đặc biệt là phản xạ gân gót) như là dấu hiệu để chẩn đoán cường giáp và suy giáp. Thời gian bán nghỉ ở những người khoẻ xấp xỉ 240 đến 320 ms.
Rối loạn tiểu tiện: đái buốt đái rắt bí đái
Khi bàng quang có tổn thương, nhất là vùng cổ bàng quang dễ bị kích thích, khối lượng nước tiểu rất ít cũng đủ gây phản xạ đó, Hậu quả là làm cho người bệnh phải đi đái luôn.
Thất ngôn Broca (thất ngôn diễn đạt): dấu hiệu triệu chứng và nguyên nhân
Thất ngôn Broca hoặc thất ngôn diễn đạt là dấu hiệu định khu của vỏ não ưu thế. Mất ngôn ngữ cấp tính luôn chú trọng dấu hiệu đột quỵ cho đến khi có bằng chứng ngược lại.
Dấu hiệu run vẫy (Flapping Tremor): tại sao và cơ chế hình thành
Cơ chế của dấu hiệu run vẫy trong những trường hợp trên vẫn chưa rõ. Chuỗi dẫn truyền cũng khá mơ hồ; tuy nhiên, một số cơ chế bệnh học cũng được đưa ra.
Ho ra máu: tại sao và cơ chế hình thành
Dù không đặc trưng cho bất kì bệnh lý nào, và cần nhớ phải phân biệt lâm sàng với nôn ra máu và những chảy máu có nguồn gốc từ mũi miệng, ho ra máu luôn luôn cần thêm những thăm dò cận lâm sàng khác.
Biến đổi hình dạng sóng tĩnh mạch cảnh: sóng a nhô cao
Sóng a nhô cao xảy ra trước kì tâm thu, không cùng lớn động mạch cảnh đập và trước tiếng T1. Sóng a đại bác xảy ra trong kì tâm thu, ngay khi động mạch cảnh đập và sau tiếng T1.
Phù ngoại biên: dấu hiệu triệu chứng và nguyên nhân
Cơ chế chính gây phù dưới da ngoại biên phụ thuộc vào tăng áp lực thủy tĩnh, giảm áp lực thủy tĩnh mô kẽ, giảm thể tích huyết tương, tăng áp lực dịch kẽ, tăng tính thấm thành mạch, tắc mạch bạch huyết.
Thở rên: tại sao và cơ chế hình thành
Ở những bệnh nhân bị bệnh trong lồng ngực và bao gồm cả đường hô hấp dưới, tắc nghẽn hay xẹp phổi, thở rên là cách để làm tăng lượng khí cặn chức năng.
Dáng đi núng nính (dáng đi Trendelenburg hai bên): dấu hiệu triệu chứng và nguyên nhân
Dáng đi núng nính gây nên bởi yếu cơ gốc chi. Yếu cơ gốc chi và mất vững đai chậu gây nên tư thế đứng đặc trưng do yếu đai chậu và ưỡn thắt lưng quá mức để duy trì thăng bằng trong suốt quá trình thăm khám tư thế.
Nhịp tim chậm: dấu hiệu triệu chứng và nguyên nhân
Có quá nhiều nguyên nhân có khả năng gây chậm nhịp nên độ đặc hiệu của dấu hiệu cho một bệnh thì thấp. Nếu được thấy ở một bệnh nhân đáng lẽ có nhịp tim bình thường, thì thường có khả năng là dấu hiệu của bệnh tiềm ẩn rất nặng.
Dấu hiệu Trousseau’s: dấu hiệu triệu chứng và nguyên nhân
Có rất ít các nghiên cứu trực tiếp về độ nhạy và độ đặc hiệu của dấu hiệu trousseau. khoảng 11% tất cả bệnh nhân ung thư sẽ bị viêm tĩnh mạch huyết khối, ngược lại 23% các bệnh nhân được tìm thấy bằng chứng qua khám nghiệm tử thi.
Thở Kussmaul: tại sao và cơ chế hình thành
Thở Kussmaul là một đáp ứng thích nghi của nhiễm toan chuyển hóa. Việc thở sâu, nhanh trong thì hít vào làm giảm thiểu khoảng chết giải phẫu, hiệu quả nhiều hơn việc ‘thổi bay’ khí CO2, do đó sẽ giảm tình trạng nhiễm toan và làm tăng pH.
Nhịp nhanh xoang: dấu hiệu triệu chứng và nguyên nhân
Nhịp nhanh đơn thuần là một triệu chứng rất không đặc hiệu. Giá trị triệu chứng của nó phụ thuộc vào hoàn cảnh lâm sàng. Nó có giá trị hạn chế trong dự đoán giảm thể tích. Nếu kết hợp với các triệu chứng khác, nó có giá trị trong dự báo viêm phổi.
Âm thổi tâm thu: âm thổi hở van hai lá
Đặc điểm của âm thổi hở van hai lá có ý nghĩa tương đối trong việc phát hiện hở van hai lá với độ nhạy là 56–75%, độ đặc hiệu 89–93% và LR 5.4. Tuy nhiên, nó không tương quan với độ nặng của hở van.
Giảm trương lực cơ: dấu hiệu triệu chứng và nguyên nhân
Giảm trương lực cơ là triệu chứng thường gặp nhất của neuron vận động dưới. Do tổn thương tiểu não một bên, ít phổ biến hơn, đây có thể là một triệu chứng của bệnh lý tiểu não hay bệnh lý cấp tính của neuron vận động trên.
Tràn khí dưới da: nguyên nhân và cơ chế hình thành
Da từ cổ, trung thất và khoang sau phúc mạc được nối với nhau bằng mặt phẳng màng cơ (fascial planes) và chính mặt phẳng này cho phép không khí theo đó mà di chuyển từ khoang này đến các khoang khác.
Khó thở khi nằm nghiêng: nguyên nhân và cơ chế hình thành
Có bằng chứng hạn chế về độ nhạy và độ đặc hiệu; tuy nhiên, chứng dễ thở khi nằm nghiêng bên là một bệnh lý và cần thiết phải thăm khám.
Thở ngắt quãng: nguyên nhân và cơ chế hình thành
Một số mô hình đã được đề xuất để giải thích các thay đổi bất thường đã được mô tả, nhưng cơ chế chủ yếu là pCO2 giảm thoáng qua xuống dưới ngưỡng kích thích hô hấp.
Tăng carotene máu/Lắng đọng carotene ở da: dấu hiệu triệu chứng và nguyên nhân
Lắng đọng carotene da được xem là vô hại và phát hiện nguyên nhân tiềm ẩn chỉ có giá trị phòng ngừa biến chứng của bệnh đó. Ví dụ, tích tụ carotene da có thể là chỉ điểm đầu tiên của việc rối loạn ăn uống.
Bộ mặt bệnh van hai lá: dấu hiệu triệu chứng và nguyên nhân
Giảm cung lượng tim kết hợp với tăng áp động mạch phổi nặng dẫn tới giảm oxy máu mạn tính và giãn mạch ở da. Cần ghi nhớ là các nguyên nhân gây giảm cung lượng tim đều gây bộ mặt 2 lá.
Hô hấp nghịch thường: tại sao và cơ chế hình thành
Hô hấp nghịch thường được cho rằng là do cử động gắng sức mạnh của cơ hô hấp phụ thành ngực trong thì thở ra gắng sức, làm đẩy cơ hoành xuống dưới và đẩy bụng ra ngoài.
Khám thắt lưng hông
Hội chứng thắt lưng hông gồm có hai hội chứng thành phần là hội chứng cột sống và hội chứng dây rễ thần kinh, Khám lâm sàng nhằm mục đích phát hiện.
Tiếng thở phế quản: tại sao và cơ chế hình thành
Bình thường, tiếng thở phế quản không nghe thấy ở trường phổi vì thành ngực làm yếu đi những âm có tần số cao. Nếu có đông đặc, những âm tần số cao này có thể truyền qua được rõ ràng.
