- Trang chủ
- Xét nghiệm
- Hình ảnh bệnh lý hô hấp
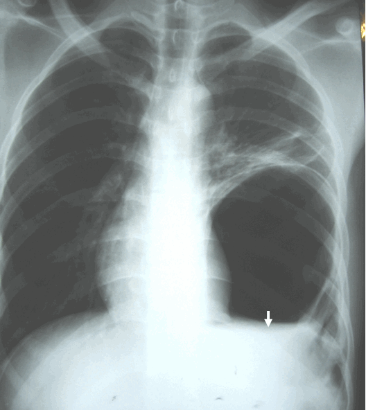
- Thoát vị hoành trái và thoát vị dạ dày
Thoát vị hoành trái và thoát vị dạ dày
Thoát vị cơ hoành dạ dày là một phần của dạ dày lên vào trong khoang ngực. Dạ dày ép lên thông qua một lỗ nhỏ ở cơ hoành. Cơ hoành là thành cơ ngăn cách khoang bụng từ khoang ngực.
Biên tập viên: Trần Tiến Phong
Đánh giá: Trần Trà My, Trần Phương Phương
Thoát vị cơ hoành dạ dày là một phần của dạ dày lên vào trong khoang ngực. Dạ dày ép lên thông qua một lỗ nhỏ ở cơ hoành. Cơ hoành là thành cơ ngăn cách khoang bụng từ khoang ngực.
Một phần của dạ dày trượt vào và ra khỏi khoang ngực - đây là loại phổ biến nhất. Và phần trên của dạ dày trong khoang ngực.
Phức tạp hernia thoát vị-Một số loại khác của thoát vị dạ dày có thể được nhìn thấy. Những bất thường, nhưng nghiêm trọng hơn và có thể phải phẫu thuật.
Nguyên nhân chính xác của chứng thoát vị cơ hoảnh là không rõ ràng. Một số người được sinh ra với thoát vị nhưng hầu hết sẽ phát triển nó sau này trong cuộc sống.
Cơ hoành có lỗ mở đầu thực quản có thể đi qua. Suy yếu hay chấn thương đến lỗ mở này có thể cho phép thoát vị phát triển. Tăng áp lực trong ổ bụng cũng có thể đẩy dạ dày vào trong khoang ngực.

Hình ảnh thoát vị hoành trái trên phim chụp phổi thẳng có mức nước mức hơi giống hình ảnh của áp xe phổi trái

Hình ảnh thoát vị hoành (thoát vị dạ dày) có mức mức hơi giống áp xe phổi ở bệnh nhân nam, 21 tuổi

Hình ảnh khối thức ăn lổn nhổn ở vùng đáy phổi phải trên phim chụp cắt lớp phổi ở cửa sổ trung thất của cùng bệnh nhân nam, 21 tuổi - Thoát vị dạ dày
Bài viết cùng chuyên mục
Tràn mủ màng phổi trên hình ảnh
Trong trường hợp hiếm hoi, viêm mủ màng phổi có thể xảy ra sau khi chọc kim xuyên qua thành ngực để rút chất dịch trong khoang màng phổi để chẩn đoán bệnh, điều trị.
Viêm phổi điển hình
Viêm phổi mắc phải ở cộng đồng bao gồm các nhiễm khuẩn phổi xảy ra ở ngoài bệnh viện, biểu hiện bằng viêm phổi thùy, viêm phổi đốm hoặc viêm phổi không điển hình.
Tràn khí màng phổi trên hình ảnh
Tràn khí màng phổi là sự xuất hiện khí giữa lá thành và lá tạng của màng phổi. Đây là một tình trạng rối loạn hô hấp khá phổ biến, có thể xẩy ra trong nhiều bệnh cảnh lâm sàng khác nhau và gặp ở bất cứ lứa tuổi nào.
Viêm phổi kẽ trên phim CT scaner
Bệnh nhân bị bệnh phổi kẽ có thể thấy các triệu chứng như sau: cảm giác khó thở, đặc biệt là trong hoặc sau khi lao động hay hoạt động thể lực vừa và nặng; ho khan.
Viêm phổi gây tràn dịch màng phổi ở bệnh nhân Collagenose
Viêm phổi, phổi bị nhiễm trùng rồi vi trùng lan ra màng phổi hoặc vùng phổi bị nhiễm trùng quá gần màng phổi làm màng phổi bị kích thích tiết ra dịch.
U phổi chèn ép tĩnh mạch chủ trên
Hình ảnh phù áo khoác và tuần hoàn bàng hệ ở ngực trong hội chứng trung thất (hố thượng đòn 2 bên đầy hai mũi tên trắng giữa. Tuần hoàn bàng hệ ở ngực - mũi tên trắng dưới cùng).
Bệnh bụi phổi (Silicosis) trên phim x quang
Bệnh bụi phổi là bất kỳ của nhiều bệnh phổi do hít phải nhiều bụi hữu cơ hoặc vô cơ hay hóa chất kích thích, thường trong một khoảng thời gian dài.
Lao phổi trên chẩn đoán hình ảnh
Trong lao tiềm ẩn, vi khuẩn lao vẫn còn trong cơ thể ở trạng thái không hoạt động, Không có triệu chứng và không truyền nhiễm, nhưng có thể trở thành hoạt động.
Hạch trung thất to và đối xứng trong Sarcoidose
Hạch trung thất là một nhóm các hạch bạch huyết nằm trong trung thất, là một phần trong phần trung tâm của ngực. Các hạch bạch huyết là, cấu trúc tròn nhỏ được đặt trên khắp cơ thể, đặc biệt là xung quanh các mạch máu.
Giãn phế quản hình trụ
Giãn phế quản có thể được phân loại thành các hình thức sau đây về hình thái, Phế quản được mở rộng và hình trụ. Hình ảnh trên phim chụp cắt lớp vi tính gợi ý.
Ung thư phổi thứ phát kiểu thả bóng trên phim chụp phổi thẳng, CT scan
Tế bào ung thư gốc được gọi là ung thư nguyên phát, và khi nó lây lan nó mang tên ung thư thứ phát hay di căn, Bất cứ loại ung thư nào cũng có thể lây lan sang phổi.
Ung thư phổi thể ngoại vi
Ung thư phế quản không biệt hoá tế bào nhỏ không bao giờ ở ngoại vi phổi, hay di căn và di căn nhiều chỗ, Di căn nhanh và sớm trước khi có dấu hiệu lâm sàng.
Lao hang phổi phải có mức nước mức hơi
Bệnh lao là một bệnh truyền nhiễm thường ảnh hưởng đến phổi. Nó là kẻ giết người lớn nhất thứ hai do một tác nhân lây nhiễm đơn trên toàn thế giới, và trong năm 2012, 1,3 triệu người chết vì căn bệnh này, với 8,6 triệu người ngã bệnh.
Khối u phổi: đám mờ trên phim x quang phổi ranh giới không rõ
Chụp CT Scan phổi độ phân giải cao có thể được chỉ định trên những bệnh nhân có các dấu hiệu lâm sàng của viêm phổi nhưng không thấy hình ảnh bất thường.
Thoát vị hoành bên phải có mức nước mức hơi
Thoát vị cơ hoành dạ dày là một phần của dạ dày lên vào trong khoang ngực. Dạ dày ép lên thông qua một lỗ nhỏ ở cơ hoành. Cơ hoành là thành cơ ngăn cách khoang bụng từ khoang ngực.
Áp xe phổi phải có mức nước hơi trên phim phổi nghiêng phải và CT
Áp xe phổi là một bệnh nghiêm trọng trong thời đại trước kháng sinh, khi một phần ba số bệnh nhân tử vong, một số phục hồi, và phần còn lại phát triển suy nhược và bệnh áp xe tái phát.
Kén hơi bội nhiễm có mức nước mức hơi
Hầu hết các bóng khí khổng lồ đạt kích thước và tình trạng dần dần theo thời gian, Nhưng có những trường hợp các bóng khí trải qua thời kỳ tăng trưởng và thay đổi tình hình trong khoang ngực của bệnh nhân khá nhanh chóng.
Tứ chứng Fallot trên x quang
Phim chụp x quang ngực hình chiếc hia gợi ý chẩn đoán tứ chứng Fallot. Các đặc điểm lâm sàng của bộ tứ chứng Fallot có liên quan trực tiếp đến mức độ nghiêm trọng của các khuyết tật giải phẫu.
Hội chứng Pierre Marie trên x quang
Hội chứng này gặp trong bất kỳ loại K biểu mô tế bào nào, nhưng hay gặp nhất trong K biểu mô tế bào vảy, K biểu mô tuyến & ít gặp nhất trong K biểu mô tế bào nhỏ.
Tràn dịch màng phổi trên hình ảnh
Dịch quá nhiều có thể tích lũy vì cơ thể không xử lý dịch đúng cách, Chất dịch trong tràn dịch màng phổi cũng có thể do viêm, như viêm phổi, bệnh tự miễn dịch.
Ung thư phổi phải áp xe hoá
Ung thư phổi phải áp xe hoá trên phim chụp x quang và cắt lớp vi tính. Chẩn đoán ung thư phổi và phân loại hiện nay chủ yếu dựa trên kính hiển vi, thỉnh thoảng bổ sung bằng các xét nghiệm miễn dịch.
Áp xe phổi phải có mức nước mức hơi trên phim phổi thẳng
Áp xe phổi có thể được phân loại, dựa vào thời gian và nguyên nhân có khả năng, hình ảnh áp xe phổi phải có mức nước mức hơi trên phim chụp x quang phổi thẳng.
Giãn phế quản trên x quang chuẩn
Hình ảnh giãn phế quản trên phim chụp x quang phổi chuẩn. Nguyên nhân là do tình trạng viêm mạn tính của đường hô hấp, và có liên quan, hoặc gây ra bởi một số lượng lớn các bệnh.
Tràn dịch màng phổi do lao trên hình ảnh
Trong quá trình điều trị theo dõi sát phát hiện kịp thời các trường hợp kháng thuốc, dị ứng thuốc và các tác dụng phụ khác của thuốc chống lao. Chọc tháo dịch càng sớm càng tốt, chống dày dính màng phổi.
Tâm phế mạn trên hình ảnh x quang
Tâm phế mạn là một bệnh tim phổi mạn tính do bệnh ở phổi hoặc bệnh ở lồng ngực gây trở ngại cho tuần hoàn phổi, áp lực động mạch phổi tăng, tâm thất phải dày lên.
