- Trang chủ
- Xét nghiệm
- Hình ảnh bệnh lý hô hấp
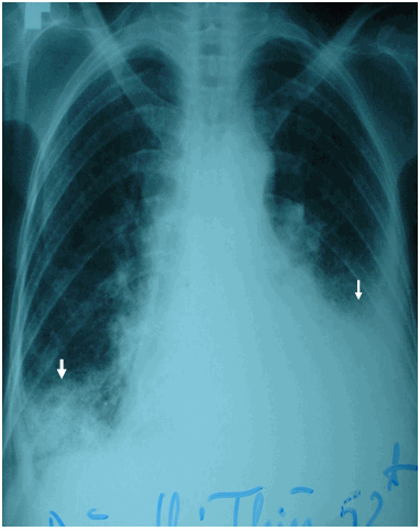
- Viêm phổi gây tràn dịch màng phổi ở bệnh nhân Collagenose
Viêm phổi gây tràn dịch màng phổi ở bệnh nhân Collagenose
Viêm phổi, phổi bị nhiễm trùng rồi vi trùng lan ra màng phổi hoặc vùng phổi bị nhiễm trùng quá gần màng phổi làm màng phổi bị kích thích tiết ra dịch.
Biên tập viên: Trần Tiến Phong
Đánh giá: Trần Trà My, Trần Phương Phương
Viêm phổi là một bệnh nhiễm trùng phổi do vi khuẩn, virus, nấm, hoặc ký sinh trùng. Nó được đặc trưng chủ yếu của viêm phế nang trong phổi hoặc phế nang chứa đầy dịch. Một tình trạng rất nghiêm trọng, viêm phổi có thể làm cho một người bị bệnh nặng hoặc thậm chí gây tử vong. Mặc dù bệnh có thể xảy ra ở những người trẻ và khỏe mạnh, nó nguy hiểm nhất đối với người lớn tuổi, trẻ sơ sinh, và những người có bệnh khác hoặc hệ thống miễn dịch bị suy giảm. Tại Hoa Kỳ, hơn 3 triệu người phát triển bệnh viêm phổi mỗi năm, và khoảng 17% được điều trị tại bệnh viện. Hầu hết những người bị viêm phổi hồi phục, nhưng khoảng 5% sẽ thất bại trước tình trạng này.
Vi khuẩn và virus là nguyên nhân chính của bệnh viêm phổi. Khi một người hít phải vi trùng viêm phổi vào phổi và hệ thống miễn dịch của cơ thể không thể không ngăn ngừa, các sinh vật định cư trong các túi khí nhỏ gọi là phế nang và tiếp tục nhân nên. Khi cơ thể gửi các tế bào bạch cầu tấn công các vi trùng, các túi tiết chất lỏng và có mủ - Gây viêm phổi có vi khuẩn, virus, nấm, và nguyên nhân chính khác.
Vi khuẩn Streptococcus pneumoniae là nguyên nhân thường gặp nhất của viêm phổi do vi khuẩn. Những người bị bệnh tắc nghẽn mãn tính (COPD) hoặc nghiện rượu thường bị viêm phổi từ Klebsiella pneumoniae và Hemophilus influenzae . Viêm phổi không điển hình, một loại viêm phổi thường xảy ra vào mùa hè và mùa thu, được gây ra bởi các vi khuẩn Mycoplasma pneumoniae . Những người có bệnh Legionnaire được gây ra bởi vi khuẩn Legionella pneumoniae (thường được tìm thấy trong nguồn nước bị ô nhiễm và điều hòa không khí) cũng có thể phát triển bệnh viêm phổi như là một phần của nhiễm trùng tổng thể. Một loại vi khuẩn gây viêm phổi được gọi là Chlamydia pneumoniae. Viêm phổi Pneumocystis carinii là một dạng của viêm phổi thường ảnh hưởng đến cả hai phổi và được tìm thấy ở những bệnh nhân có hệ miễn dịch bị suy yếu hoặc bị tổn hại từ các bệnh như ung thư và HIV / AIDS và những người điều trị bằng TNF (yếu tố hoại tử u) cho bệnh viêm khớp dạng thấp.

Hình ảnh viêm phổi có tràn dịch màng phổi hai bên trên phim phổi thường ở bệnh nhân nữ 52 tuổi - Viêm phổi gây tràn dịch màng phổi ở bệnh nhân Collagenose
Bài viết cùng chuyên mục
Tràn khí màng phổi trên hình ảnh
Tràn khí màng phổi là sự xuất hiện khí giữa lá thành và lá tạng của màng phổi. Đây là một tình trạng rối loạn hô hấp khá phổ biến, có thể xẩy ra trong nhiều bệnh cảnh lâm sàng khác nhau và gặp ở bất cứ lứa tuổi nào.
Áp xe phổi phải có mức nước mức hơi trên phim phổi thẳng
Áp xe phổi có thể được phân loại, dựa vào thời gian và nguyên nhân có khả năng, hình ảnh áp xe phổi phải có mức nước mức hơi trên phim chụp x quang phổi thẳng.
Ung thư phổi phải áp xe hoá
Ung thư phổi phải áp xe hoá trên phim chụp x quang và cắt lớp vi tính. Chẩn đoán ung thư phổi và phân loại hiện nay chủ yếu dựa trên kính hiển vi, thỉnh thoảng bổ sung bằng các xét nghiệm miễn dịch.
Ung thư phổi màng phổi thứ phát trên XQ
Tế bào ung thư gốc được gọi là ung thư nguyên phát, và khi nó lây lan nó mang tên ung thư thứ phát hay di căn. Bất cứ loại ung thư nào cũng có thể lây lan sang phổi.
Viêm phổi do sặc dầu
Các trường hợp có triệu chứng sặc xăng dầu phải được điều trị và theo dõi tại bệnh viện trong vòng 8 đến 24 giờ, Các trường hợp có co giật, suy hô hấp, hôn mê phải nhập khoa.
Hạch trung thất to và đối xứng trong Sarcoidose
Hạch trung thất là một nhóm các hạch bạch huyết nằm trong trung thất, là một phần trong phần trung tâm của ngực. Các hạch bạch huyết là, cấu trúc tròn nhỏ được đặt trên khắp cơ thể, đặc biệt là xung quanh các mạch máu.
Tâm phế mạn trên hình ảnh x quang
Tâm phế mạn là một bệnh tim phổi mạn tính do bệnh ở phổi hoặc bệnh ở lồng ngực gây trở ngại cho tuần hoàn phổi, áp lực động mạch phổi tăng, tâm thất phải dày lên.
Áp xe phổi phải có mức nước hơi trên phim phổi nghiêng phải và CT
Áp xe phổi là một bệnh nghiêm trọng trong thời đại trước kháng sinh, khi một phần ba số bệnh nhân tử vong, một số phục hồi, và phần còn lại phát triển suy nhược và bệnh áp xe tái phát.
Tứ chứng Fallot trên x quang
Phim chụp x quang ngực hình chiếc hia gợi ý chẩn đoán tứ chứng Fallot. Các đặc điểm lâm sàng của bộ tứ chứng Fallot có liên quan trực tiếp đến mức độ nghiêm trọng của các khuyết tật giải phẫu.
Kén hơi khổng lồ phổi trái
Nhưng có những trường hợp các bóng khí trải qua thời kỳ tăng trưởng và thay đổi tình hình trong khoang ngực của bệnh nhân khá nhanh chóng.
Ung thư phổi thể trung tâm
Triệu chứng của bệnh ở giai đoạn đầu thường không đặc hiệu, về sau ho càng ngày càng nặng hơn hoặc không hết, thở khó khăn, chẳng hạn như thở gấp, đau ngực liên tục.
Thoát vị hoành bên phải có mức nước mức hơi
Thoát vị cơ hoành dạ dày là một phần của dạ dày lên vào trong khoang ngực. Dạ dày ép lên thông qua một lỗ nhỏ ở cơ hoành. Cơ hoành là thành cơ ngăn cách khoang bụng từ khoang ngực.
U phổi chèn ép tĩnh mạch chủ trên
Hình ảnh phù áo khoác và tuần hoàn bàng hệ ở ngực trong hội chứng trung thất (hố thượng đòn 2 bên đầy hai mũi tên trắng giữa. Tuần hoàn bàng hệ ở ngực - mũi tên trắng dưới cùng).
Giãn phế quản dạng ngón tay đi găng
Hình phế quản là không thường xuyên với các khu vực rộng và thắt. Hình ảnh phim chụp cắt lớp vi tính gợi ý chẩn đoán giãn phế quản dạng ngón tay đi găng.
Hội chứng Pierre Marie trên x quang
Hội chứng này gặp trong bất kỳ loại K biểu mô tế bào nào, nhưng hay gặp nhất trong K biểu mô tế bào vảy, K biểu mô tuyến & ít gặp nhất trong K biểu mô tế bào nhỏ.
Tràn mủ màng phổi trên hình ảnh
Trong trường hợp hiếm hoi, viêm mủ màng phổi có thể xảy ra sau khi chọc kim xuyên qua thành ngực để rút chất dịch trong khoang màng phổi để chẩn đoán bệnh, điều trị.
Tràn dịch màng phổi trên hình ảnh
Dịch quá nhiều có thể tích lũy vì cơ thể không xử lý dịch đúng cách, Chất dịch trong tràn dịch màng phổi cũng có thể do viêm, như viêm phổi, bệnh tự miễn dịch.
Hình ảnh viêm phổi thuỳ đỉnh phổi phải
Viêm phổi thuỳ là một bệnh tổn thương phổi, do nhiễm khuẩn thường gặp ở trẻ lớn, và người lớn do nhiều loại vi khuẩn, virus và có thể cả kí sinh trùng gây nên.
Giãn phế quản trên x quang chuẩn
Hình ảnh giãn phế quản trên phim chụp x quang phổi chuẩn. Nguyên nhân là do tình trạng viêm mạn tính của đường hô hấp, và có liên quan, hoặc gây ra bởi một số lượng lớn các bệnh.
Lao hang phổi phải có mức nước mức hơi
Bệnh lao là một bệnh truyền nhiễm thường ảnh hưởng đến phổi. Nó là kẻ giết người lớn nhất thứ hai do một tác nhân lây nhiễm đơn trên toàn thế giới, và trong năm 2012, 1,3 triệu người chết vì căn bệnh này, với 8,6 triệu người ngã bệnh.
Viêm phế quản cấp trên x quang chuẩn
Khi tình trạng viêm chỉ khu trú ở phía trên hai dây thanh âm sẽ được các thầy thuốc chẩn đoán là viêm đường hô hấp trên, bao gồm: viêm mũi, họng, thanh quản.
Khối u phổi: đám mờ trên phim x quang phổi ranh giới không rõ
Chụp CT Scan phổi độ phân giải cao có thể được chỉ định trên những bệnh nhân có các dấu hiệu lâm sàng của viêm phổi nhưng không thấy hình ảnh bất thường.
Giãn phế quản hình trụ
Giãn phế quản có thể được phân loại thành các hình thức sau đây về hình thái, Phế quản được mở rộng và hình trụ. Hình ảnh trên phim chụp cắt lớp vi tính gợi ý.
Giãn phế quản gây tâm phế mạn
Mức độ nghiêm trọng của chứng giãn phế quản thường được phân loại theo khối lượng đờm nhưng nay phần lớn được thay thế bằng sự xuất hiện dấu hiệu trên CT scan.
Tràn dịch màng phổi do lao trên hình ảnh
Trong quá trình điều trị theo dõi sát phát hiện kịp thời các trường hợp kháng thuốc, dị ứng thuốc và các tác dụng phụ khác của thuốc chống lao. Chọc tháo dịch càng sớm càng tốt, chống dày dính màng phổi.
