- Trang chủ
- Xét nghiệm
- Hình ảnh bệnh lý hô hấp
- Ung thư phổi thể ngoại vi
Ung thư phổi thể ngoại vi
Ung thư phế quản không biệt hoá tế bào nhỏ không bao giờ ở ngoại vi phổi, hay di căn và di căn nhiều chỗ, Di căn nhanh và sớm trước khi có dấu hiệu lâm sàng.
Biên tập viên: Trần Tiến Phong
Đánh giá: Trần Trà My, Trần Phương Phương
Đại đa số các khối u ung thư phổi. Phổ biến nhất, nó phát sinh từ các pseudo-phân tầng biểu mô niêm mạc của đường hô hấp phế quản nhưng cũng có thể phát sinh từ các biểu mô cuối đường hô hấp nhỏ và phế nang. Trên thế giới, ung thư phổi là nguyên nhân phổ biến nhất gây tử vong liên quan ung thư.
Chẩn đoán ung thư phổi và phân loại hiện nay chủ yếu dựa trên kính hiển vi, thỉnh thoảng bổ sung bằng các xét nghiệm miễn dịch. Việc sử dụng các dữ liệu microarray được tạo ra trong tương lai có khả năng cải thiện triệt để phân loại bệnh.
Các khối u phổi được chia thành hai loại chính
Ung thư tế bào nhỏ (SCLC 20-25% các trường hợp) và ung thư phổi không tế bào nhỏ (NSCLC 70-80% các trường hợp) dựa trên lâm sàng và sự xuất hiện mô học.
Loại u hiếm khác bao gồm
Carcinoid (điển hình hoặc không điển hình),
Ung thư biểu mô,
Blastomas phổi,
Ung thư tế bào khổng lồ và trục.
Ung thư tế báo không nhỏ được chia thành ba loại mô học bệnh chính:
Ung thư biểu mô tế bào vảy,
Adenocarcinoma và
Ung thư biểu mô tế bào lớn.
Trong khi ở một số quốc gia, ung thư tuyến là bệnh phổ biến nhất, ở các nước khác, trong khi tần số tương đối của ung thư tuyến đang tăng lên, ung thư biểu mô tế bào vảy vẫn chiếm ưu thế.

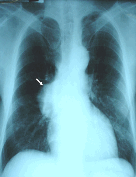
Hình ảnh K phổi phải thể ngoại vi ở phía sau trên chụp phổi thẳng ở bệnh nhân nam, 62 tuổi - Ung thư phổi phải

Hình ảnh K phổi thể ngoại vi ở phía sau sát cột sống trên phim phổi chụp nghiêng phải ở cùng bệnh nhân

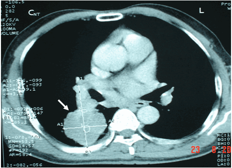
Hình ảnh k phổi thể ngoại vi ở phía sau trên phim chụp CT ngực cùng bệnh nhân
Bài viết cùng chuyên mục
Giãn phế quản hình trụ
Giãn phế quản có thể được phân loại thành các hình thức sau đây về hình thái, Phế quản được mở rộng và hình trụ. Hình ảnh trên phim chụp cắt lớp vi tính gợi ý.
Áp xe phổi phải có mức nước mức hơi trên phim phổi thẳng
Áp xe phổi có thể được phân loại, dựa vào thời gian và nguyên nhân có khả năng, hình ảnh áp xe phổi phải có mức nước mức hơi trên phim chụp x quang phổi thẳng.
Giãn phế quản gây tâm phế mạn
Mức độ nghiêm trọng của chứng giãn phế quản thường được phân loại theo khối lượng đờm nhưng nay phần lớn được thay thế bằng sự xuất hiện dấu hiệu trên CT scan.
Áp xe phổi phải có mức nước hơi trên phim phổi nghiêng phải và CT
Áp xe phổi là một bệnh nghiêm trọng trong thời đại trước kháng sinh, khi một phần ba số bệnh nhân tử vong, một số phục hồi, và phần còn lại phát triển suy nhược và bệnh áp xe tái phát.
Kén hơi bội nhiễm có mức nước mức hơi
Hầu hết các bóng khí khổng lồ đạt kích thước và tình trạng dần dần theo thời gian, Nhưng có những trường hợp các bóng khí trải qua thời kỳ tăng trưởng và thay đổi tình hình trong khoang ngực của bệnh nhân khá nhanh chóng.
Thoát vị hoành bên phải có mức nước mức hơi
Thoát vị cơ hoành dạ dày là một phần của dạ dày lên vào trong khoang ngực. Dạ dày ép lên thông qua một lỗ nhỏ ở cơ hoành. Cơ hoành là thành cơ ngăn cách khoang bụng từ khoang ngực.
Khối u phổi: đám mờ trên phim x quang phổi ranh giới không rõ
Chụp CT Scan phổi độ phân giải cao có thể được chỉ định trên những bệnh nhân có các dấu hiệu lâm sàng của viêm phổi nhưng không thấy hình ảnh bất thường.
Lao hang phổi phải có mức nước mức hơi
Bệnh lao là một bệnh truyền nhiễm thường ảnh hưởng đến phổi. Nó là kẻ giết người lớn nhất thứ hai do một tác nhân lây nhiễm đơn trên toàn thế giới, và trong năm 2012, 1,3 triệu người chết vì căn bệnh này, với 8,6 triệu người ngã bệnh.
Giãn phế quản phổi phải dạng chùm nho
Giãn phế quản là một sự giãn nở vĩnh viễn và dày lên của đường hô hấp đặc trưng bởi ho mãn tính, tạo đờm quá mức, chế độ tồn tại của vi khuẩn, nhiễm trùng cấp tính và tái phát.
Tứ chứng Fallot trên x quang
Phim chụp x quang ngực hình chiếc hia gợi ý chẩn đoán tứ chứng Fallot. Các đặc điểm lâm sàng của bộ tứ chứng Fallot có liên quan trực tiếp đến mức độ nghiêm trọng của các khuyết tật giải phẫu.
Bệnh bụi phổi (Silicosis) trên phim x quang
Bệnh bụi phổi là bất kỳ của nhiều bệnh phổi do hít phải nhiều bụi hữu cơ hoặc vô cơ hay hóa chất kích thích, thường trong một khoảng thời gian dài.
Hội chứng Pierre Marie trên x quang
Hội chứng này gặp trong bất kỳ loại K biểu mô tế bào nào, nhưng hay gặp nhất trong K biểu mô tế bào vảy, K biểu mô tuyến & ít gặp nhất trong K biểu mô tế bào nhỏ.
Thoát vị hoành trái và thoát vị dạ dày
Thoát vị cơ hoành dạ dày là một phần của dạ dày lên vào trong khoang ngực. Dạ dày ép lên thông qua một lỗ nhỏ ở cơ hoành. Cơ hoành là thành cơ ngăn cách khoang bụng từ khoang ngực.
Tràn khí màng phổi trên hình ảnh
Tràn khí màng phổi là sự xuất hiện khí giữa lá thành và lá tạng của màng phổi. Đây là một tình trạng rối loạn hô hấp khá phổ biến, có thể xẩy ra trong nhiều bệnh cảnh lâm sàng khác nhau và gặp ở bất cứ lứa tuổi nào.
Viêm phổi gây tràn dịch màng phổi ở bệnh nhân Collagenose
Viêm phổi, phổi bị nhiễm trùng rồi vi trùng lan ra màng phổi hoặc vùng phổi bị nhiễm trùng quá gần màng phổi làm màng phổi bị kích thích tiết ra dịch.
Giãn phế quản trên x quang chuẩn
Hình ảnh giãn phế quản trên phim chụp x quang phổi chuẩn. Nguyên nhân là do tình trạng viêm mạn tính của đường hô hấp, và có liên quan, hoặc gây ra bởi một số lượng lớn các bệnh.
Ung thư phổi màng phổi thứ phát trên XQ
Tế bào ung thư gốc được gọi là ung thư nguyên phát, và khi nó lây lan nó mang tên ung thư thứ phát hay di căn. Bất cứ loại ung thư nào cũng có thể lây lan sang phổi.
Viêm phổi do sặc dầu
Các trường hợp có triệu chứng sặc xăng dầu phải được điều trị và theo dõi tại bệnh viện trong vòng 8 đến 24 giờ, Các trường hợp có co giật, suy hô hấp, hôn mê phải nhập khoa.
Hen phế quản trong cơn và ngoài cơn
Điều làm cho sưng phù hoặc viêm đường hô hấp rất nhạy cảm với kích ứng và làm tăng tính nhạy cảm với một phản ứng dị ứng.
Lao phổi trên chẩn đoán hình ảnh
Trong lao tiềm ẩn, vi khuẩn lao vẫn còn trong cơ thể ở trạng thái không hoạt động, Không có triệu chứng và không truyền nhiễm, nhưng có thể trở thành hoạt động.
Viêm phế quản cấp trên x quang chuẩn
Khi tình trạng viêm chỉ khu trú ở phía trên hai dây thanh âm sẽ được các thầy thuốc chẩn đoán là viêm đường hô hấp trên, bao gồm: viêm mũi, họng, thanh quản.
Tràn mủ màng phổi trên hình ảnh
Trong trường hợp hiếm hoi, viêm mủ màng phổi có thể xảy ra sau khi chọc kim xuyên qua thành ngực để rút chất dịch trong khoang màng phổi để chẩn đoán bệnh, điều trị.
Tràn dịch màng phổi trên hình ảnh
Dịch quá nhiều có thể tích lũy vì cơ thể không xử lý dịch đúng cách, Chất dịch trong tràn dịch màng phổi cũng có thể do viêm, như viêm phổi, bệnh tự miễn dịch.
Hình ảnh viêm phổi thuỳ đỉnh phổi phải
Viêm phổi thuỳ là một bệnh tổn thương phổi, do nhiễm khuẩn thường gặp ở trẻ lớn, và người lớn do nhiều loại vi khuẩn, virus và có thể cả kí sinh trùng gây nên.
Hạch trung thất to và đối xứng trong Sarcoidose
Hạch trung thất là một nhóm các hạch bạch huyết nằm trong trung thất, là một phần trong phần trung tâm của ngực. Các hạch bạch huyết là, cấu trúc tròn nhỏ được đặt trên khắp cơ thể, đặc biệt là xung quanh các mạch máu.
