- Trang chủ
- Xét nghiệm
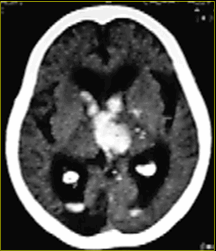
- Hình ảnh CT sọ não
- Xuất huyết não và não thất
Xuất huyết não và não thất
Liệt nửa người, nếu nặng người không tự đi lại được, trường hợp nhẹ người bệnh đi khó khăn khi đi hay bị rớt dép, liệt mặt cùng bên với bên bị liệt, liệt các cơ hầu họng làm cho người bệnh nuốt khó khăn.
Biên tập viên: Trần Tiến Phong
Đánh giá: Trần Trà My, Trần Phương Phương
Trên thực tế người bị tai biến mạch máu não có 2 dạng thường gặp là nhũn não và xuất huyết não, cả 2 dạng này đều có những biểu hiện chung sau đây:
Rối loạn về tri giác: Có nhiều trường hợp người bệnh vẫn còn tỉnh táo, nhưng đa số là có tri giác giảm sút như: lơ mơ, ngủ gà đôi khi là hôn mê.
Rối loạn về vận động như: Liệt nửa người, nếu nặng người không tự đi lại được, trường hợp nhẹ người bệnh đi khó khăn khi đi hay bị rớt dép, liệt mặt cùng bên với bên bị liệt, liệt các cơ hầu họng làm cho người bệnh nuốt khó khăn, khi ăn uống dễ bị sặc, thức ăn rớt vào đường hô hấp gây nghẹt thở có thể gây tử vong cho bệnh nhân. Ngoài ra người bệnh có thể bị tình trạng nói khó, hay không nói được, tiêu tiểu cũng không điều khiển được.

Xuất huyết não và não thất
Bài viết cùng chuyên mục
Xuất huyết trong não thất
Xuất huyết trong não thất thường liên quan với máu tụ trong não, xuất huyết dưới màng nhện, máu tụ dưới màng cứng, Các bệnh nhân này thường có phân loại 3 hoặc nặng hơn.
Nhũn não động mạch não giữa
Tắc động mạch máu não đại đa phần đều do tăng huyết áp gây nên, cộng với yếu tố động mạch bị xơ cứng khi về già, Tuy nhiên, người huyết áp bình thường.
Nhồi máu não ổ khuyết cạnh não thất bên phải
Nguyên nhân của nhồi máu nhỏ ở sâu với đường kính dưới 15 mm, ổ khuyết, Thường nằm ở các khu vực sâu trong não: nhân xám trung ương, bao trong.
Nhũn não động mạch não sau
Tắc động mạch máu não đại đa phần đều do tăng huyết áp gây nên, cộng với yếu tố động mạch bị xơ cứng khi về già.
Xuất huyết khoang dưới nhện
Khoang dưới nhện là khoang ở mặt ngoài não tủy, nằm giữa màng nhện và màng nuôi, trong đó chứa nước não tủy, Nguyên nhân gây xuất huyết dưới nhện tự phát.
Nhũn não động mạch não trước
Tắc mạch máu não là hiện tượng động mạch bị xơ cứng, lòng huyết quản nhỏ lại, máu tắc lại trong huyết quản không thể lưu thông được, Những tế bào ở bộ phận bị đông tắc.
Nhũn não cũ (tạo hốc dịch teo não)
Nhồi máu não hay nhũn não xảy ra khi một mạch máu bị tắc, nghẽn, khu vực tưới bởi mạch đó bị thiếu máu và hoại tử. Nhồi máu não chiếm khoảng 80 - 85% trong tổng số các bệnh nhân tai biến mạch máu não.
Tụ máu ngoài và dưới màng cứng
Máu tụ dưới màng cứng hình thành giữa màng cứng và màng nhện, Máu tụ ngoài màng cứng là khối máu tụ hình thành ở khoang ảo giữa màng cứng và xương sọ.
Dập não và dập não kèm xuất huyết
Dập não là một tổn thương chủ yếu trong chấn thương não nặng. Nếu nhẹ, dập não để lại di chứng về sau như động kinh, nếu nặng, nó thường kèm theo phần lớn các máu tụ trong sọ.
Phù não trên hình ảnh CT scaner
Có thể do tăng tính thấm mao mạch, do rối loạn chuyển hóa trong tế bào, rối loạn hoạt động kênh natri phụ thuộc ATP, do Gradien áp lực xuyên màng nội tủy
Nhuyễn não và teo não
Teo não là một phần tự nhiên của quá trình lão hóa, xảy ra nhanh hơn ở những người mắc chứng khiếm khuyết nhận thức nhẹ, một dấu hiệu báo trước của bệnh Alzheimer.
Nhồi máu tiểu não
Nhũn não là do tắc mạch máu não. Thời điểm dễ xẩy ra tắc động mạch não nhất là trong khi ngủ và sáng dậy, khi đang tắm, khi bị mất nước do ra mồ hôi nhiều.
Xuất huyết nhân bèo trái
Các nghiên cứu trước đây cho thấy thể tích xuất huyết não và thang điểm hôn mê Glasgow lúc nhập viện là yếu tố tiên lượng mạnh, Tuy nhiên các yếu tố nguy cơ.
Tổn thương phần mềm hộp sọ sau chấn thương
Chấn thương sọ não hở bao gồm tất cả các chấn thương sọ não gây rách màng cứng, khai thông não bộ với bên ngoài, Loại này gây nguy cơ nhiễm khuẩn não cao.
Tổn thương xương hộp sọ sau chấn thương
Não có thể bị tổn thương do hộp sọ bị nứt hoặc đâm xuyên, ví dụ như trong trường hợp tai nạn xe cộ, rơi ngã hoặc trúng đạn, một diễn tiến bệnh tật.
